티스토리 뷰
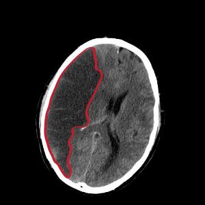
뇌경색은 뇌로 가는 혈류가 차단되어 뇌 세포가 손상되는 질병입니다. 이는 뇌졸중의 한 형태로, 조기 발견이 매우 중요합니다. 조기 증상을 인지하면 즉각적인 치료를 통해 더 심각한 결과를 예방할 수 있습니다.



오늘은 뇌경색의 초기 증상과 이를 인지하는 방법에 대해 자세히 알아보도록 하겠습니다.
뇌경색이란 무엇인가요?
뇌경색은 혈관이 좁아지거나 막히면서 발생하는 뇌의 손상입니다. 이는 주로 혈전이나 색전으로 인해 발생하며, 그로 인해 뇌의 특정 부분에 oxygen과 영양소가 공급되지 않게 됩니다. 이 상태가 지속되면 뇌세포는 영구적으로 손상을 입거나 죽게 됩니다.
뇌경색에는 두 가지 주요 유형이 있습니다. 첫 번째는 허혈성 뇌경색으로, 대개 혈전이 혈관을 막아 발생합니다. 두 번째는 출혈성 뇌경색으로, 뇌혈관이 파열되거나 약해져 출혈이 발생하는 것입니다. 본 포스팅에서는 주로 허혈성 뇌경색의 초기 증상에 대해 설명드리겠습니다.
초기 증상 인지하기
뇌경색의 초기 증상은 종종 간과되기 쉽습니다. 하지만 이러한 초기 신호를 인식하는 것이 매우 중요합니다. 뇌경색의 초기 증상은 일반적으로 갑작스럽게 발생하며, 특정 신체 부위에 영향을 미칩니다.
우선, 얼굴의 한쪽 부분이 비틀리는 현상이 있습니다. 얼굴의 오른쪽이나 왼쪽이 처지거나 비뚤어지는 경우가 있는데, 이는 뇌의 특정 부위가 손상되었음을 나타낼 수 있습니다. 이러한 현상이 일어날 경우 즉시 의사의 진료를 받는 것이 좋습니다.
다리를 사용하기 어려운 느낌
또 다른 초기 증상으로는 다리의 힘이 약해지는 경우입니다. 특히 한쪽 다리를 제대로 사용하지 못하는 느낌이 든다면, 뇌경색이 발생할 위험성이 높습니다. 예를 들어, 갑작스럽게 한쪽 다리가 무겁게 느껴지거나 힘이 빠지는 느낌이 든다면 이는 심각한 신호가 될 수 있습니다.
이러한 감각은 평소와 다른 일상 생활 속에서 느껴질 수 있습니다. 걸음걸이가 불편하게 느껴지거나, 균형을 잃고 넘어질 것 같은 느낌이 드는 경우도 포함됩니다. 이때는 가능한 한 빠르게 전문가의 평가를 받는 것이 중요합니다.
언어 장애 - 뇌경색 초기증상
언어 장애 또한 뇌경색의 주요 초기 증상 중 하나입니다. 환자가 말을 더듬거나, 단어를 찾지 못하는 경우가 많습니다. 이와 함께 이상한 발음이나 말이 어눌해지는 경우가 관찰될 수 있습니다.
이런 증상이 나타날 때 주의할 점은, 상대방이 환자의 발음이나 언어 능력의 변화를 감지할 수 있다는 것입니다. 만약 주변 사람이 이러한 상황을 알아차린다면, 즉시 도움 요청을 고려하는 것이 아 좋습니다.






시각 이상 - 뇌경색 초기증상
또한, 뇌경색에 의한 초기 증상 중 하나로 시각 이상이 있습니다. 환자가 한쪽 눈의 시야가 흐려지거나 불명확하게 보일 수 있습니다. 이는 뇌의 시각 처리 영역에 문제가 생겼음을 나타낼 수 있습니다.
특히, 갑작스럽게 시야가遮蔽되거나 시각적 착시가 발생할 경우 즉시 전문가의 진찰을 받아야 합니다. 이러한 증상은 뇌경색이 진행 중임을 알리는 신호일 수 있습니다.






어지러움 및 균형 감각 상실 - 뇌경색 초기증상
어지러움은 뇌경색의 초기 증상으로 자주 나타납니다. 환자가 갑자기 어지러움을 느끼거나 구역질을 느끼는 경우가 많습니다. 이는 뇌가 신체의 균형을 유지하는 데 필요한 정보를 올바르게 처리하지 못하고 있음을 나타냅니다.
또한, 어지러움을 동반하여 걷기가 불편하거나 균형을 잃는 경우가 자주 발생합니다. 이러한 증상이 지속적으로 나타난다면, 신속히 의료기관을 방문하는 것이 필요합니다.






두통 - 뇌경색 초기증상
일반적인 두통과는 다르게, 뇌경색에 따른 두통은 갑작스럽고 심각하게 나타나는 경우가 많습니다. 이는 특히 뇌의 혈류 이상이 시사된 경우에 나타나는 증상입니다. 이런 두통이 동반될 경우 즉시 의사의 진료가 필요합니다.
두통의 강도와 성격에 따라 그 심각성이 다를 수 있습니다. 따라서, 평소와 다른 강도의 두통이 느껴진다면 주의해야 합니다. 또한, 이런 두통이 기타 증상과 함께 나타날 경우 더욱 경각심을 가져야 합니다.






결론적으로 - 뇌경색 초기증상
뇌경색의 초기 증상은 여러 가지가 있으며, 그 중에서도 얼굴비틀림, 다리 힘 약해짐, 언어 장애, 시각 이상, 어지러움 및 두통 등이 있습니다. 이러한 증상을 인지하고 즉시 대응하면, 심각한 결과를 예방할 수 있습니다.
따라서, 본인의 건강 상태를 잘 파악하고, 주변 사람들이 겪는 이상 증상에 대해서도 주의 깊게 살펴보시길 권장합니다. 조기에 발견하는 것이 환자의 생명을 구하고, 재활의 기회를 높이는 길입니다.
